包西图
首页
自然风景
花卉图片
美食图片
城市风景
手抄报
头像
首页
>
其他类别
>
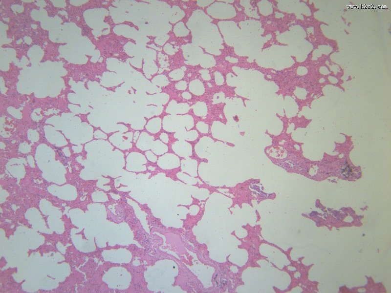
小叶性肺炎(12张)
> 小叶性肺炎 第10张
自然风光
运动体育
植物花卉
节日图片
人物图片
健康疾病
美食世界
其他类别
物品物件
装饰装修
设计素材
建筑环境
广告设计
艺术绘画
城市旅游
海洋世界
动物图片
交通运输
美女图片
动漫影视
游戏图片
头像
手抄报
小叶性肺炎 - 第10张
第 10 / 12 张
一夕一夏
上传
到
小叶性肺炎
图集中 / 共有 12 张图片
这些是相关的图集...
精致贵重的小叶紫檀手串图片
大叶性肺炎
优雅的小叶紫檀手串图片大全
科普新冠肺炎手抄报图片 14张健康手抄报
新型冠状病毒肺炎手抄报 致敬逆行者 15张健康手抄报
所属小分类
医学
显微切片
炎症
肺炎
bronchopneumonia
小叶性肺炎
支气管肺炎
热门的小分类
高冷霸气情侣头像
头像男动漫冷酷帅气高清
漫画帅气头像男生霸气冷酷
头像40岁左右的女
头像真人女ins高级质感
微信头像2025最火爆男
头像2025情头
2025年新款头像
2025最火头像
可爱的群头像
最近更新:
有意思的情头图片动漫 超有个性有意思的情头 6张
最霸气头像图片大全 最霸气头像图片女 20张
男生黑化头像动漫图片大全 男生黑化头像动漫图片高清 19张
特别高冷的情侣头像 特别高冷的情侣头像图片大全 20张
最新二次元图片头像 二次元图片大全头像 20张
王也动漫头像图片大全 王也头像图片帅气动漫 20张
动漫简单头像 动漫简单头像图片女 20张
表现热爱祖国的微信头像 关于我爱祖国微信头像图片 20张
女生微信头像背影霸气 女生微信头像背影霸气图片高冷 20张
2023新版微信头像女 微信头像图片2023最新款女 20张