首页 > 其他类别 > 大叶性肺炎12张

大叶性肺炎(12)张

一夕一夏 上传 /本图集共有 12 张图片
介绍

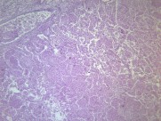
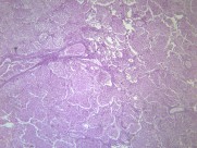
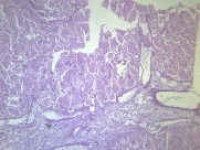
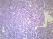
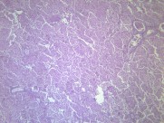
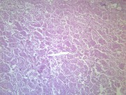
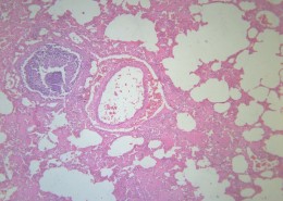
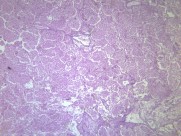
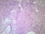
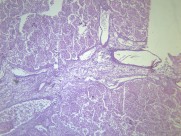
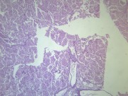
大叶性肺炎(lobarpneumonia)主要是由肺炎链球菌引起,病变累及一个肺段以上肺组织,以肺泡内弥漫性纤维素渗出为主的急性炎症。病变起始于局部肺泡,并迅速蔓延至一个肺段或整个大叶。临床上起病急骤,常以高热、恶寒开始,继而出现胸痛、咳嗽、咳铁锈色痰,呼吸困难,并有肺实变体征及外周血白细胞计数增高等。病程大约一周,体温骤降,症状消失。该病多发生于青壮年男性。疾病常见诱因有受凉、劳累或淋雨等。属于中医“风温”、“肺痈”等范畴。

最近更新: 消防安全的手抄报怎么画 新时代好少年手抄报简单又好画 我爱我的家乡手抄报 交通安全的手抄报内容 校园欺凌手抄报图片简单 安徒生手抄报一等奖简单 空白手抄报模板大全 五六年级消防安全手抄报 消防安全手抄报四年级 中国民间故事手抄报牛郎织女