包西图
首页
自然风景
花卉图片
美食图片
城市风景
手抄报
头像
首页
>
其他类别
>
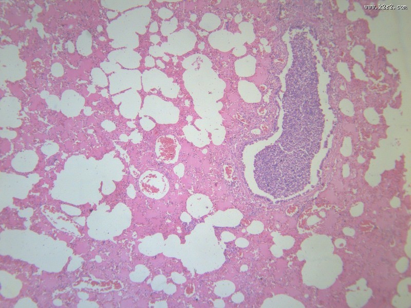
小叶性肺炎(12张)
> 小叶性肺炎 第7张
自然风光
运动体育
植物花卉
节日图片
人物图片
健康疾病
美食世界
其他类别
物品物件
装饰装修
设计素材
建筑环境
广告设计
艺术绘画
城市旅游
海洋世界
动物图片
交通运输
美女图片
动漫影视
游戏图片
头像
手抄报
小叶性肺炎 - 第7张
第 7 / 12 张
猫扑风铃
上传
到
小叶性肺炎
图集中 / 共有 12 张图片
这些是相关的图集...
精致贵重的小叶紫檀手串图片
大叶性肺炎
优雅的小叶紫檀手串图片大全
科普新冠肺炎手抄报图片 14张健康手抄报
新型冠状病毒肺炎手抄报 致敬逆行者 15张健康手抄报
所属小分类
医学
显微切片
炎症
肺炎
bronchopneumonia
小叶性肺炎
支气管肺炎
热门的小分类
高冷霸气情侣头像
头像男动漫冷酷帅气高清
漫画帅气头像男生霸气冷酷
头像40岁左右的女
头像真人女ins高级质感
微信头像2025最火爆男
头像2025情头
2025年新款头像
2025最火头像
可爱的群头像
最近更新:
芭蕾舞者油画图片
古老的恐龙化石图片
苏州合景室内设计手绘图片
清新素雅花朵素材图片
纸纹图片
钢琴琴键的特写图片
中型水禽之黑尾鸥图片
紧闭的窗户图片
敏捷的猎豹图片
白色的鸽子图片