包西图
首页
自然风景
花卉图片
美食图片
城市风景
手抄报
头像
首页
> 心肌梗死图片_心肌梗死图片大全
自然风光
运动体育
植物花卉
节日图片
人物图片
健康疾病
美食世界
其他类别
物品物件
装饰装修
设计素材
建筑环境
广告设计
艺术绘画
城市旅游
海洋世界
动物图片
交通运输
美女图片
动漫影视
游戏图片
头像
手抄报
小分类
优质女头真人
暗黑系女头
女生头型
侧脸男头
男头动漫帅气
高质量动漫女头
动画男头
外国男头
真人女头不露脸
佛头高清
q版男头
动漫头女
男头丧
青蛙头简笔画
痞帅女头
女头挡脸
情头情侣双人霸气
情头真人双人
大象头简笔画
男头冷酷
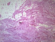
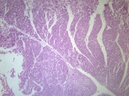
心肌梗死
心肌梗死
心肌梗死
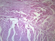
心肌梗死
心肌梗死
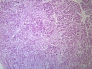
心肌梗死
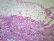
心肌梗死
心肌梗死
心肌梗死
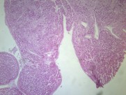
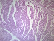
心肌梗死
心肌梗死
心肌梗死
最近更新的小分类
高冷霸气情侣头像
头像男动漫冷酷帅气高清
漫画帅气头像男生霸气冷酷
头像40岁左右的女
头像真人女ins高级质感
微信头像2025最火爆男
头像2025情头
2025年新款头像
2025最火头像
可爱的群头像
qq原始头像全套
凹凸世界头像埃米
找个江字的头像好看的
猫咪拟人头像
优质女头真人
最新的头像男生霸气
微信头像女新版本
成年男性头像
微信头像和名称
凶一点的头像
毛不易头像
暗黑系女头
可爱幼崽头像
情侣头像污的那种二次元
头像奋斗
特别污的情侣头像双人
好看动漫头像古风
紫色古风头像
最酷的猫咪头像
简约风头像男
热门的小分类
高冷霸气情侣头像
头像男动漫冷酷帅气高清
漫画帅气头像男生霸气冷酷
头像40岁左右的女
头像真人女ins高级质感
微信头像2025最火爆男
头像2025情头
2025年新款头像
2025最火头像
可爱的群头像
内容推荐:
诱人的西红柿(番茄)图片大全
可怕的蛇类特写图片大全
唯美雪花莲(待雪草)图片
好看的紫色花丛图片大全
俯视金山岭长城风景图片大全
上海南浦大桥图片大全
迷糊餐厅漫画图片
高清枪械图片大全
山地自行车赛图片大全
蔡依林诺亚传说星战风云图片