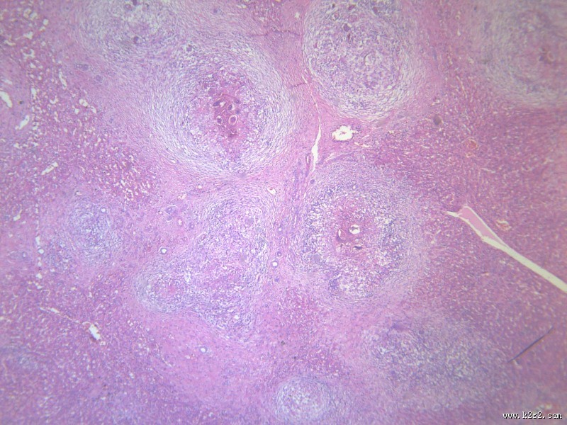
首页 > 其他类别 > 虫卵肉芽肿(12张) > 虫卵肉芽肿 第3张

虫卵肉芽肿 - 第3张

第 3 / 12 张
猫扑风铃上传虫卵肉芽肿 图集中 / 共有 12 张图片
最近更新: 检查近视的孩子图片 浴室装修效果图 简约大方相框图片 航空母舰图片 黑脸琵鹭图片 德国海德堡风景图片 蓝天白云大海图片 冬日树枝上的雾凇图片 火车图片 绚丽的烟火图片