包西图
首页
自然风景
花卉图片
美食图片
城市风景
手抄报
头像
首页
>
其他类别
>
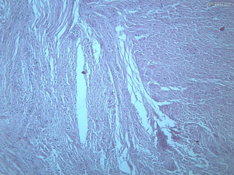
纤维瘤大全(12张)
> 纤维瘤大全 第10张
自然风光
运动体育
植物花卉
节日图片
人物图片
健康疾病
美食世界
其他类别
物品物件
装饰装修
设计素材
建筑环境
广告设计
艺术绘画
城市旅游
海洋世界
动物图片
交通运输
美女图片
动漫影视
游戏图片
头像
手抄报
纤维瘤大全 - 第10张
第 10 / 12 张
猫扑风铃
上传
到
纤维瘤大全
图集中 / 共有 12 张图片
这些是相关的图集...
乳腺纤维腺瘤
纤维肉瘤大全
所属小分类
医学
显微切片
肿瘤
fibroma
纤维瘤
热门的小分类
高冷霸气情侣头像
头像男动漫冷酷帅气高清
漫画帅气头像男生霸气冷酷
头像40岁左右的女
头像真人女ins高级质感
微信头像2025最火爆男
头像2025情头
2025年新款头像
2025最火头像
可爱的群头像
最近更新:
传统运动手抄报图片
读书手抄报图片大全简单三年级
诚信文明手抄报图片
年月日手抄报图片
4开纸禁毒手抄报图片大全
古诗乐园手抄报图片
保护洱海的手抄报图片
爱心公益手抄报图片
2024手抄报图片
感恩母校手抄报图片